 
  
埋伏齒拔除

此為埋伏齒手術前後對照照片,照片的左邊其實是病人的右邊。從照片上可以看到左右下牙床智齒成水平狀態,屬於難度高的手術,需開刀拔除。
埋伏齒疼痛度高於其它牙齒問題,有時會造成牙齦會腫,面頰會腫,嘴巴無法張開等問題,一般而言,矯正醫師會在矯正前要求病人拔除埋伏齒,使矯正治療順利進行。

原本矯正好或是原本就很好的齒列,會因為埋伏齒生長,使齒列改變為不齊,影響美觀。大部分病患罹患埋伏齒疼痛,診所醫生都轉診大醫院,原因是:診所設備不足,拔除困難,手術時間長,術後易流血和感染,醫生相對承受風險大。
但轉診的大醫院往往安排數星期才能拔,無法即時解決問題。亞德擁有一流的設備及完善儀器,安排後即可拔牙。免除病人舟車勞頓之苦,且可在術後得到良好的照護。

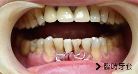
植牙+假牙同天執行
客戶因牙齒自然汰換,有植牙及假牙需求,舊牙因功能毀壞無法使用,故與亞德醫師約定時間,於同日植牙後,醫師再協助其製作一個臨時假牙,以利其後續正常進食及治療,有效維持生活品質。


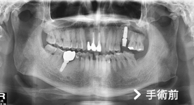
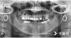
上顎竇增高植牙手術

我們知道,一顆牙齒要屹立不搖,四周要有足夠的齒槽骨去支撐它;同理,「人工植體」也需要足夠的齒槽骨才能在植入後有良好的穩定度。
患者左上第一大臼齒缺牙,齒槽骨高度只剩下3公釐高度,但植牙需要至少10公釐高度的齒槽骨才能建造穩固的植體。

這種狀況下,可依患者狀況評估以「上顎竇增高術」,利用手術器械將「上顎竇膜」分離並提高,並填入骨粉,增加骨頭高度。因為竇膜易破,如傷到破損可能造成的併發症包括:上顎竇膜破裂、鼻竇炎、口腔與鼻竇相通、骨粉或植體感染,因此「上顎竇增高術」屬於較複雜的手術技巧,建議選擇臨床經驗豐富的醫師來操作較為適當。
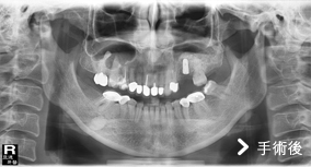
手術後照片可以明顯看出齒槽骨高度已經增加,確定有足夠骨頭再植入一個植體,也順利替患者解決缺牙所帶來的不便。
磁吸式全口活動假牙
傳統的全口假牙因為無法有效的固定在牙床上,容易有鬆動的狀況,增添進食的痛苦,若裝戴不當可能導致周邊組織受損。雖然可以用假牙黏著劑來改善這狀況,但是它的穩固性不夠,持久性太短,使得其實用性大打折扣,如果有使用不當的狀況,更可能出現牙齦發炎、感染的狀況。

現在已發展出「磁吸式活動假牙」,可利用病患口中仍穩固的牙根,裝上含有磁石的金屬牙冠,並在活動假牙的基座也裝設了相對應的磁吸裝置,使假牙能穩固的貼附在牙床上。磁吸式假牙可省去金屬勾座,較傳統式活動假牙來得美觀,且容易取下清潔,可避免不當的受力,使用壽命也比較長,對一些缺牙較多,但是不想或不能植牙的患者算是一大福音。






